At Somashekhar Hospital, our Fetal Medicine Center in Western Maharashtra offers advanced prenatal screenings, diagnostic procedures, and fetal therapies to ensure the health and well-being of both the baby and the mother. Our team of expert fetal medicine specialists in Miraj provides state-of-the-art care using high-resolution ultrasound, genetic screening, and intrauterine treatments for high-risk pregnancies.
Embryo Freezing / Vitrification
A fetal viability scan is performed in the early weeks of pregnancy to confirm:
Presence of a fetal heartbeat
Gestational age and estimated due date
Detection of multiple pregnancies (twins, triplets, etc.)
As a leading fetal medicine center in Miraj, we ensure early and accurate pregnancy assessments for expectant mothers.
NT and Anomaly Scan
An early anomaly scan (also known as a first-trimester screening) is done between 11–14 weeks to:
Detect structural abnormalities
Assess skull, brain, spine, and limb development
Identify potential chromosomal disorders
For highly accurate fetal anomaly detection in Miraj, visit Somashekhar Hospital.
Our Down Syndrome screening combines ultrasound markers and biochemical tests to assess the risk of chromosomal abnormalities in the baby. We offer:
Nuchal Translucency (NT) Scan
Double Marker/Quadruple Marker Tests
Non-Invasive Prenatal Testing (NIPT) for high-risk pregnancies
As a trusted fetal medicine center in Western Maharashtra, we provide safe and accurate genetic screening.
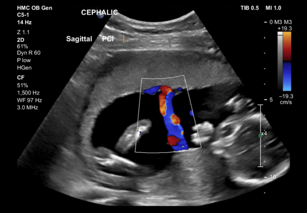
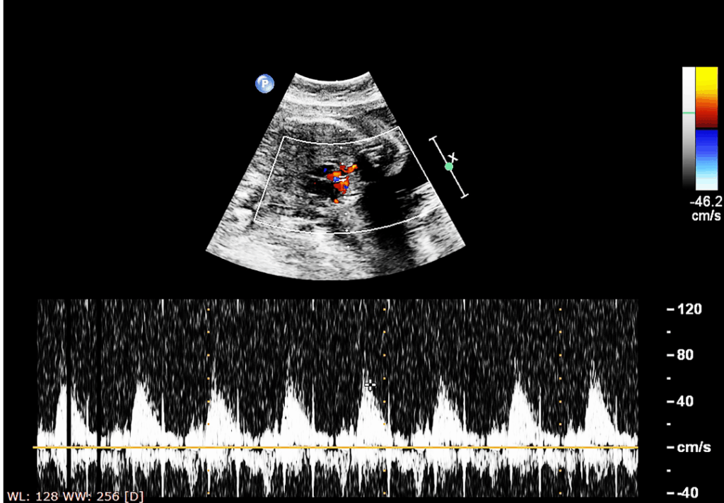
Fetal Echocardiography
A detailed fetal heart scan is recommended between 18–24 weeks to evaluate congenital heart defects (CHDs). Our specialist fetal echocardiography services in Miraj help:
Assess heart structure and function
Detect rhythm abnormalities and defects
Plan for early interventions if needed
For expert fetal heart screenings, visit our Fetal Medicine Unit in Sangli and Miraj.
Fetal Well-being Scan / Growth Scan
This third-trimester ultrasound monitors the baby’s growth and overall health, including: